Norris 20/26®
Sistemul de brackeți Norris 20/26®
împreună cu arcurile Norris Extra Broad
sunt cel mai mare pas înainte în controlul 3D
și exprimarea completă a informației.

UNDE INOVAȚIA
ÎNTÂLNEȘTE EXCELENȚA
La G&H Orthodontics®, inovația depășește sfera tehnologiei – este un proces rafinat, perfecționat de-a lungul a peste 45 de ani.
Prin protocoale riguroase de fabricație și control al calității, îmbină inovațiile de ultimă generație cu expertiza clinică aprofundată pentru a oferi constant rezultate excelente.
Norris 20/26®
Sistemul de brackeți Norris 20/26®
împreună cu arcurile Norris Extra Broad
sunt cel mai mare pas înainte în controlul 3D
și exprimarea completă a informației.

Sistemul revoluționar de
Brackeți autoligaturanți Norris 20/26
Sistemul Norris 20/26® reprezintă o nouă dimensiune a eficienței tratamentului, fiind cel mai avansat progres de până acum în domeniul brackeților autoligaturanți pasivi și al tehnologiei formelor de arcuri.
Creat de Dr. Robert „Tito” Norris, sistemul este rezultatul anilor săi de experiență în tratamentul cu cele mai importante sisteme autoligaturante pasive, combinată cu pregătirea sa în inginerie mecanică. Astfel, a reușit să identifice atât caracteristicile fizice, cât și limitările clinice ale aparatelor existente și să determine ce elemente de design aduc cel mai mare beneficiu ortodontului din practica actuală.
Rezultatul este un sistem autentic de brackeți autoligaturanți twin, pasiv/activ, cu dimensiune redusă a slotului de .020 x .026”, combinat cu o serie de arcuri de formă Extra Broad.

Ce înseamnă asta?
• Sistemul Norris 20/26® crește eficiența tratamentului printr-un design avansat, adaptat nevoilor clinice actuale
• Este un sistem creat din practică reală, bazat pe experiența clinică a Dr. Norris și pe expertiza sa în inginerie mecanică
• Designul inovator (slot .020 x .026” + arcuri Extra Broad) oferă un control mai bun și un echilibru optim între pasiv și activ
Caracteristici & Beneficii
Proiectarea bracketului Norris 20/26® a pornit de la o viziune clară asupra performanței clinice.
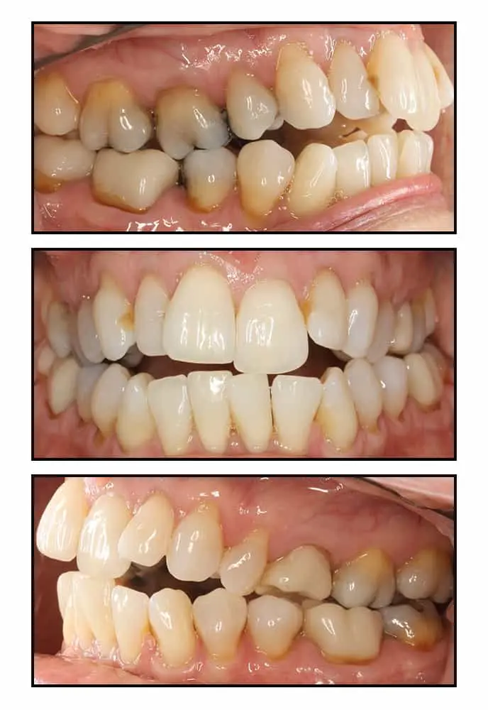
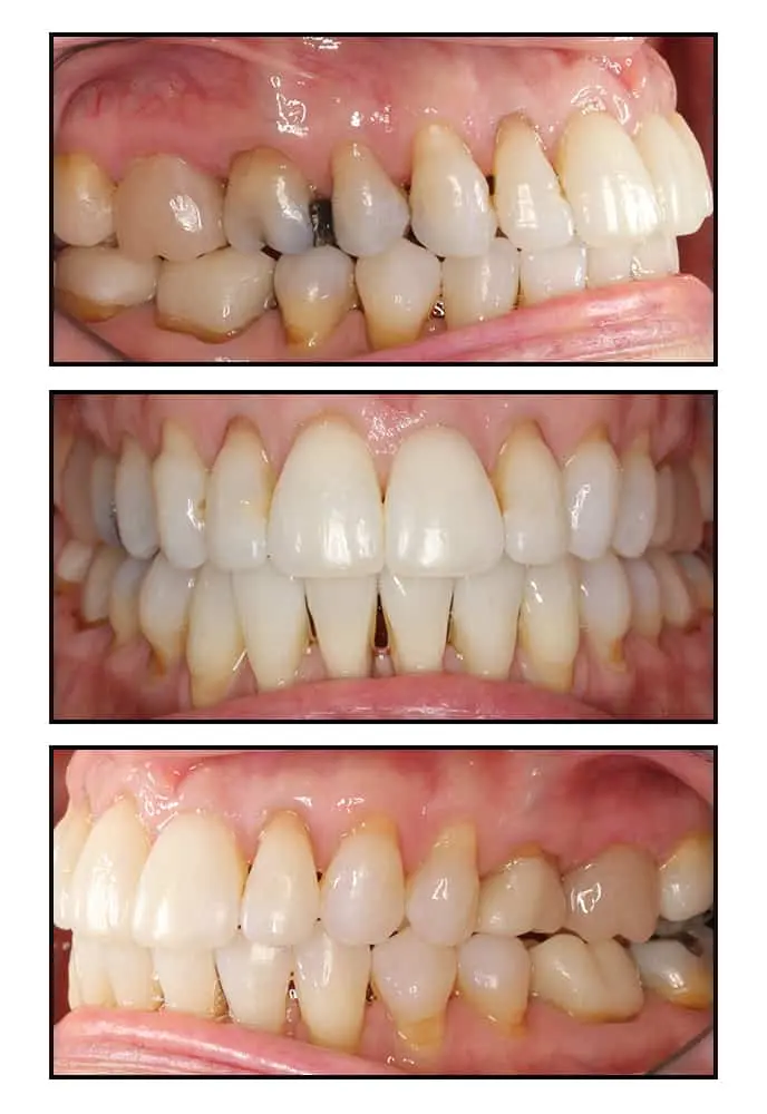
Cazuri reale
Explorează în detaliu cazurile tratate cu Sistemul Norris.
Zâmbete expresive și estetice realizate cu un control excepțional pe tot parcursul tratamentului.
Viziunea 20/26
Află de ce acest sistem reprezintă cel mai avansat progres de până acum în tehnologia brackeților autoligaturanți pasivi (PSL) și a formelor de arcuri.
Dr. Tito Norris
Descoperă viziunea din spatele Sistemului Norris și parcursul său amplu în ortodonție, inginerie mecanică și inovație.
Dr. Robert Norris este devotat să creeze zâmbete pentru o viață întreagă. Istoricul său unic în ingineria mecanică îi oferă un avantaj distinct în stăpânirea forțelor, vectorilor și mișcărilor inerente în efectuarea tratamentului ortodontic.
Dr. Norris este absolvent al Centrului de Științe ale Sănătății din cadrul Universității din Texas. Apoi s-a mutat în Washington, D.C., unde a absolvit rezidențiatul de practică în stomatologia generală la V.A. Hospital urmat de pregătire ortodontică de specialitate la Universitatea Howard. După ce a lucrat ca ortodont al forțelor aeriene în Misawa, Japonia, Dr. Norris s-a întors la San Antonio în 1998 și a deschis o clinică ortodontică de succes.
El deține mai multe brevete și mărci comerciale, este certificat de către American Board of Orthodontics și este membru a 10 organizații dentare și Study Club-uri. Ține cursuri la nivel național și internațional pe teme precum estetică, eficiență, sustenabilitate, customer service, tratament accelerat și tratament cu alignere. El a creat și administrează alte câteva companii în domenii precum investiții imobiliare, marketing, vânzări cu amănuntul și o organizație non-profit care oferă îngrijire ortodontică gratuită copiilor care au nevoie.
Dr. Tito Norris
Ortodont și creator al sistemului Norris

Sistemele tradiționale de brackeți autoligaturanți pasivi au întâmpinat de-a lungul timpului dificultăți în controlul precis al torque-ului și tip-ului, din cauza toleranțelor de fabricație și a „jocului” inevitabil dintre arc și slot. Sistemul Norris 20/26® rezolvă această limitare printr-o interacțiune mai eficientă între bracket și arc, oferind un control clinic superior fără a compromite avantajele de frecare redusă ale sistemelor pasive.
Arcurile Extra Broad aduc beneficii suplimentare în aliniere și nivelare, creează mai mult spațiu pentru poziționarea dentară și contribuie la obținerea unor arcade mai largi și a unor zâmbete mai expresive, influențând pozitiv și dinamica țesuturilor moi. Utilizarea aceleiași forme de arcadă pentru maxilar și mandibulă simplifică protocolul clinic și eficientizează tratamentul.
În etapele finale, arcurile rectangulare „rounded” 19×25 facilitează inserția și activarea, îmbunătățind controlul fără a crește fricțiunea, iar designul bracketului (materiale biocompatibile, mecanism de clip fiabil, suprafețe netede și bază mecanică pentru bonding sigur) susține o experiență clinică mai predictibilă, confort sporit pentru pacient și rezultate estetice superioare.

- Adeziune superioară - conceput pentru a se cola ușor pe orice dinte și pentru o adeziune ulterioară de neegalat
- Slot .020 X .026 - dimensiunea redusă a slotului oferă un control de neegalat. Dovedit clinic cu 26% mai eficient decât sistemul classic de brackeți PSL
- Cârlige universale pentru premolari - reduce mult inventarul, având un singur bracket pentru toți premolarii superiori
- Deschidere și închidere asistată "Glide" - clema se deschide/închide singură după parcurgerea a peste 50% din distanță

- Linie de marcaj central - ajută la colarea în axul dintelui
- Lățimea mezio-distală a clemei asigură un control suplimentar al rotației
- Margine rotunjită a clemei - ajută la poziționarea arcului în slot
- Aliaj Co-Cr fără nichel cu o fricțiune mai bună și fără reacții alergice

- Margine ocluzală dreaptă - marginea ocluzală a noii baze a brackeților premolari cu offset gingival este dreaptă, astfel încât să poată fi folosită mai ușor ca ghid al paralelismului cu crestele marginale ale premolarului
- Mecanism unic de deschidere al clemei - forțele de deschidere și închidere sunt strict la nivelul bracketului, deci dintele nu simte presiune excesivă atunci când clema este deschisă cu o rotire de instrument sau închisă cu un clește.
- Mecanism rezistent - clemă rezistentă, cu mecanism reciproc la deschidere și închidere cu „Clic”, s-a dovedit a rezista pe tot parcursul tratamentului
- Spațiu generos sub aripioare, suficient pentru catene, module și ligaturi metalice
Torque, Tip, Rotation, In/Out
Sistemul revoluționar de Brackeți autoligaturanți Norris 20/26
Cod de culori
Sistemul revoluționar de Brackeți autoligaturanți Norris 20/26

Arcurile Norris Extra Broad sunt cu
30% mai late decât cele mai largi arcuri de pe piață.
O formă de arcadă necoordonată simplifică tratamentul, permițând folosirea aceleiași forme atât pentru maxilar, cât și pentru mandibulă.
Cu 30% mai larg decât standardele existente, arcul Extra Broad realizează o serie de avantaje și efecte cheie: oferă spațiu maxim pentru fiecare dinte, nivelarea și alinierea mai ușoare deoarece dinților li se oferă o gamă mai mare de mișcare și introduce o dinamică colaborativă mai devreme între slot și arc.
Secvență arcuri și elastice
Arcurile Norris Extra Broad

Rotunjit Rectangular
Face inserarea, închiderea clemelor și așezarea mai ușoare ca niciodată. Doar raza este rotunjită, astfel încât controlul torque-ului să nu fie compromis.


Ghid de plasare
Sistemul revoluționar de Brackeți autoligaturanți Norris 20/26

Deschidere și închidere asistată "Glide"
Sistemul de brackeți Norris 20/26® oferă un mecanism fără defect al clemei cu mecanism reciproc și „clic” sonor de deschidere și închidere, dovedită să dureze pe tot parcursul tratamentului.
Deschiderea clemei bracketului nu a fost niciodată mai ușoară. Introduceți intrumentul Norris „Triple Tool” orizontal în fanta clemei și rotiți 90 de grade. Mecanismul unic din interiorul clemei bracketului permite acesteia să „alunece” spre poziția dorită de îndată ce s-a efectuat mai mult de jumătate din mișcare. Acestă deschidere și închidere “asistată” este prima și singura de acest fel și este un alt mare progres în tehnologia PSL.
Instrument Triple Tool
Instrumentul “Triple Tool” are de fapt trei instrumente într-unul: deschizător de clemă, positioner de slot și riglă . Deschiderea clemei nu a fost niciodată mai ușoară folosind instrumentul nostru personalizat. Pur și simplu introduceți instrumentul orizontal în fanta clemei și rotiți 90 de grade.

Pusher arc “HIP”
Pusher-ul Norris HIP „Hold In Place” are două instrumente într-unul. Ajută la inserarea arcului în slot și ușurează aplicarea de torque în arcurile rectangulare . Designul său mai scurt se potrivește cu ușurință în mâinile medicului.


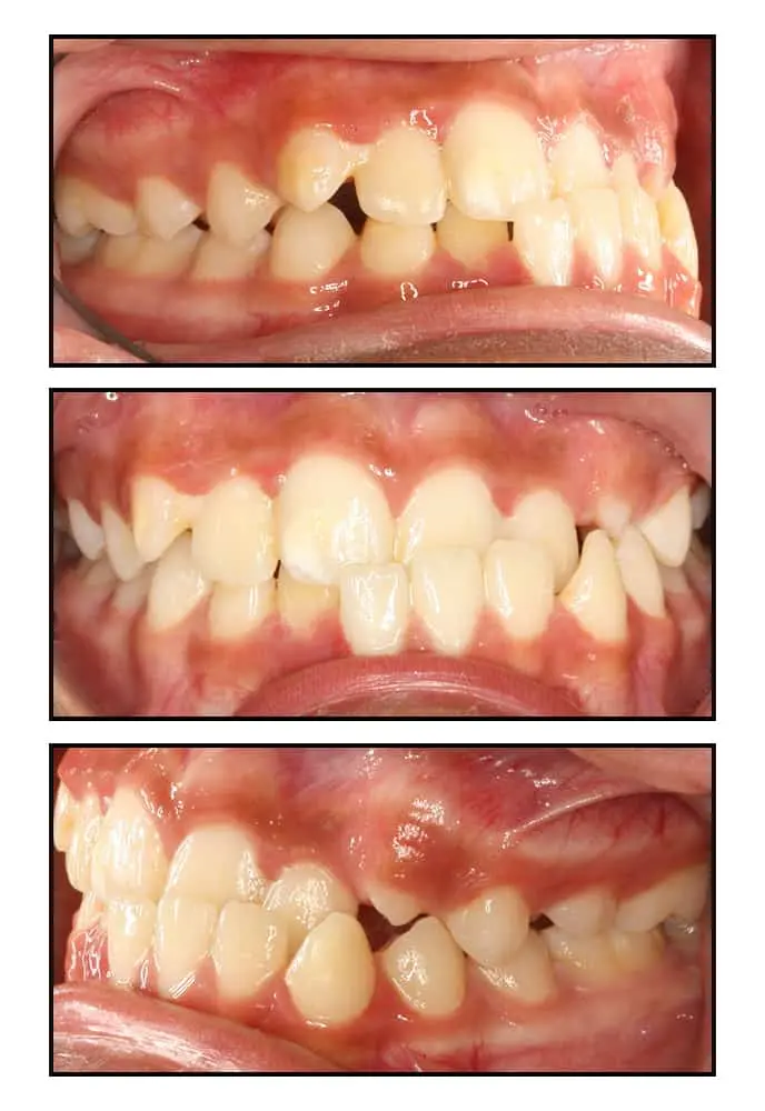
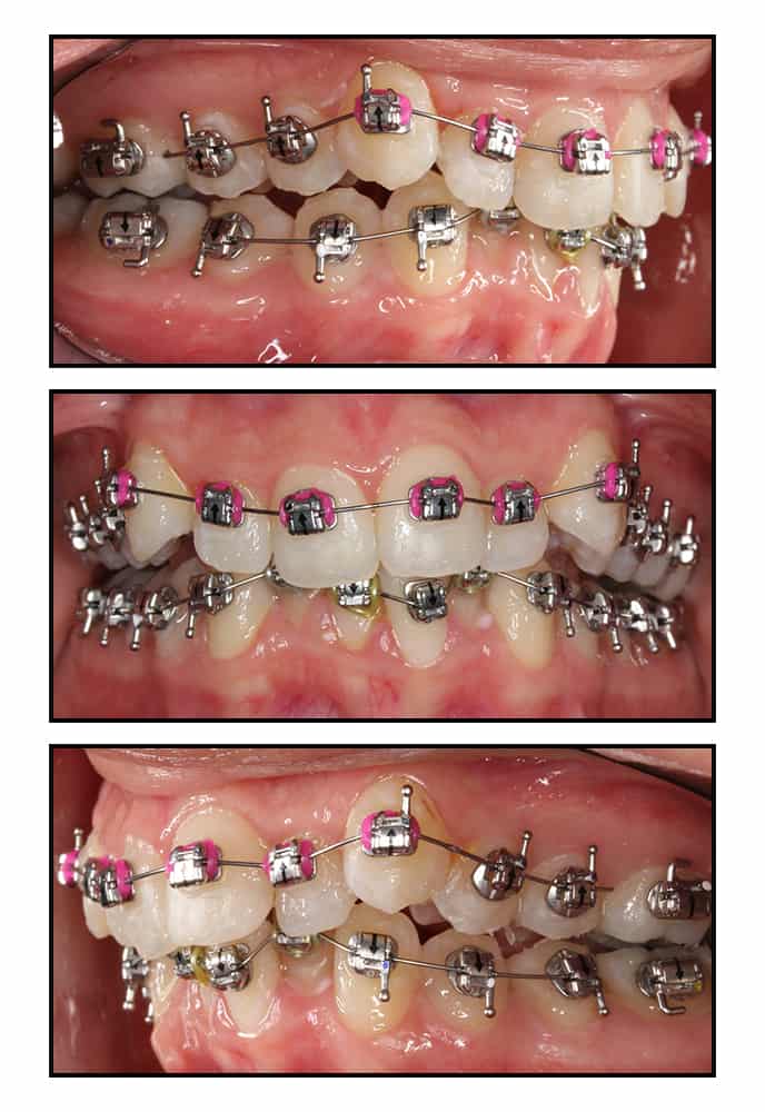
Patient
Class I – Non-Extraction
Total Appointments: 16
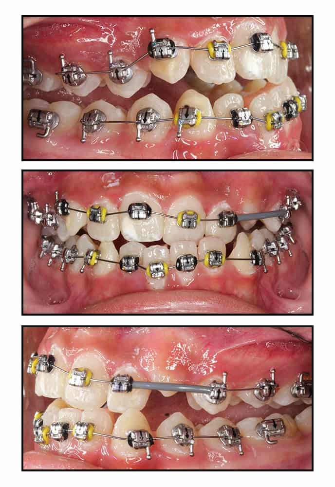
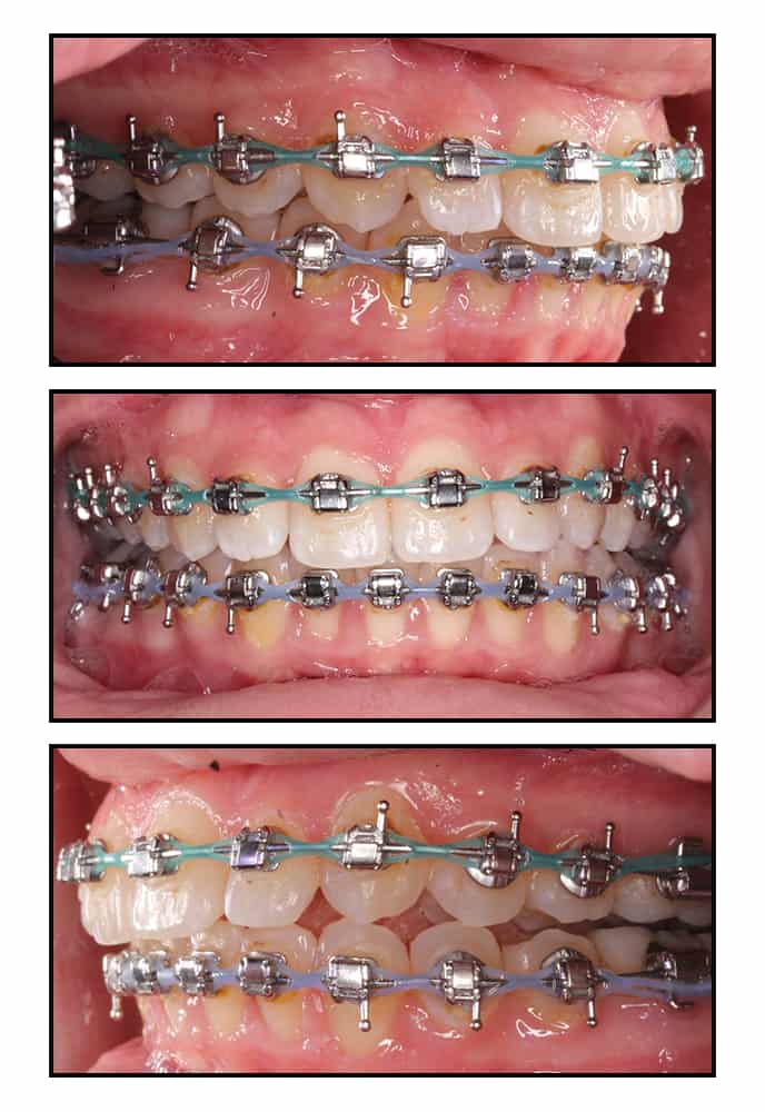
Patient 2
Class II Division 2
Total Appointments: 13
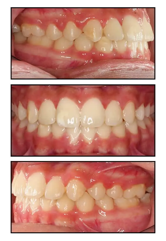
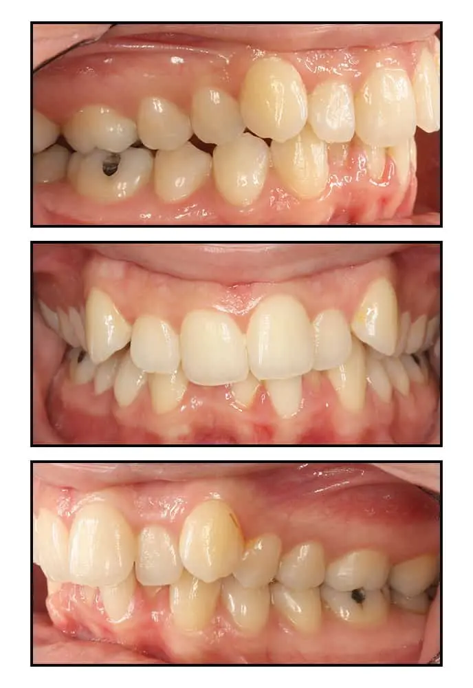
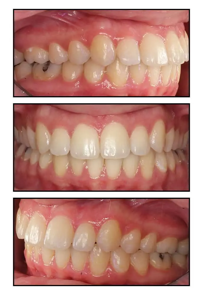
Patient 3
Adult Class II
Total Appointments: 16
Dr. Matthew David McNutt
“The Norris System offers unparalleled torque control, and exquisite rotational control.“
“As an orthodontist, I routinely practice with both traditional twin brackets and self-ligating brackets. I recognize the value of having both types of systems in my practice and I am a firm believer that the bracket does not make the orthodontist. However, brackets are one of our most important tools and we should choose wisely. I have extensive experience with many other popular self ligating systems, the shortcomings of which became well known to me. The Norris System, in my experience, was the first system to truly overcome these challenges. The Norris System offers unparalleled torque control, and exquisite rotational control. The novel slot size facilitates arch wire engagement that is truly expressive of the practitioner’s goals. Selective torque inventory is a thing of the past, and the Norris System absolutely rewards precise bracket placement. It offers the lowest bond failure rate I have ever encountered in any bracket; you will be impressed with the bond strength the first time you remove one. I am an arch wire junkie and do not have a generic arch wire sequence for my patients. I routinely finish in .019 x .025 (SS, TMA & braided) arch wires. The Norris System will not marry you to proprietary arch wires and your freedom as a practitioner is preserved. If you are looking for a self-ligating bracket that delivers on both results and cost, the Norris System should be at the top of your list.”
Dr. Matthew David McNutt -DDS, MS-Orthodontist, Cary & Clayton North Carolina

“This allows me to refine and complete finishing touches with less time and fewer visits.“
“EFFICIENCY. The Norris System’s combination of free-sliding performance and finely tuned precision make it a truly efficient system. This allows me to refine and complete finishing touches with less time and fewer visits. Truly remarkable!”
Dr. Steve Guelff - DDS, Sebring, FL

“Wow what a difference! With a slot dimension of .020 x .026, the control in all dimensions is truly amazing…“
“I have been practicing orthodontics for 26 years and started using passive self-ligation when they first came out in the late 1990’s. Finishing was always a struggle until I started using the Norris 20/26 Bracket®. Wow what a difference! With a slot dimension of .020 x .026, the control in all dimensions is truly amazing and I don’t have to make all those annoying adjustments in the wire all the time. My wire adjustments, repositions, number of appointments and length of treatment, have all been reduced dramatically. Patients come back after the .019 x .025 NiTi wire with very little left to do. The door is solid and functions really well, I love the built in hooks and the amount of tie wing space, the bracket is smooth and the bond strength is great. I have been extremely satisfied with the way I am able to treat cases with this bracket and highly recommend it.”
Dr. Hilton Goldreich - Plano, Texas





















